鲜红斑痣可累及面部,表现为局部皮肤上出现红色斑点。患者无不适症状,只有少数会伴有异常出汗或感觉异常。 鲜红斑痣面颊部红色斑片一般除影响美观外,没有大的妨碍,不必刻意求治,若觉得影响面容美观,可外用接近肤色的遮盖类化妆品即可。但若局部皮损短时间之内发生很大变化,建议及时到医院就诊治疗,常用脉冲染料激光或光动力治疗。...
1、有的人产生这种现象可能是感染导致,如形成感染性皮炎,要进行抗感染治疗。一般可以口服抗生素类的药物,同时,可以外涂复合制剂类的抗生素产品,比如外涂一定的曲咪新乳膏。 2、如果这类红斑是真菌感染导致,比如形成了脚癣,一般要外涂抗真菌药膏,比如外涂曲安奈得益康唑乳膏。同时伴有瘙痒的,需要口服抗组胺药物。 红斑狼疮...
1. 过敏反应:皮肤对某些物质的过敏反应会引起皮疹、红斑和水泡,例如对于某些食物、药物或化妆品过敏时,皮肤会出现过敏反应; 2. 烧伤或烫伤:受到灼热物品的刺激或高温物质的烫伤后,皮肤会出现红斑和水泡,这种情况需要积极处理,否则会产生感染; 3. 病毒感染:出疹性疾病,例如天花、水痘等疾病,病毒感染也会导致皮肤...
脚上起了红色的泡治疗办法,可以根据起泡的原因进行治疗,脚上起红色的泡可能是鞋子摩擦导致的血泡,还有可能是真菌感染导致的,患者需要通过涂抹药物的方式进行治疗。 如果患者穿了紧身的鞋袜,可能会摩擦患者脚部的皮肤,使患者的皮肤处出现红色血泡,如果患者的血泡比较大,可以用消毒针进行穿刺,然后用碘伏消毒水对水泡部位进行消毒...
身上起了红斑,不痛不痒,很可能是玫瑰糠疹的症状。如按压后红斑消失,不按压过一会儿红斑出现,则可能是血管斑或超敏性血管炎,一般呈良性或自限性,不需要过多的治疗。好发于青壮年,男性多见,以面颈部、前胸、肩背、上臂、腋窝等皮脂腺丰富部位多发,皮损表现为开始是边界清楚的点状斑疹,可为褐色、淡褐色、淡红色或白色,逐渐增大到指...
患者男,14岁,反复红斑10年,累及面部、躯干和四肢,并伴有足跟疼痛。值得注意的是,在就诊前5年,患者体重明显增加,且反复发烧。其母亲和祖母有类似的反复红斑及听力障碍,祖母患肥胖症和糖尿病。 体格检查:躯干和四肢有风团样红斑、丘疹。体重71.3kg,身高160.5cm,体质指数为27.6kg/m2。 医学界力求...
荨麻疹好了又复发是常见的现象。荨麻疹是一种常见的皮肤过敏反应,其特点是皮肤出现瘙痒的红肿斑块,通常在数小时内自行消退,但可能在接触过敏原后再次出现。 复发的原因多种多样,可能与食物、药物、环境因素或身体内部的免疫反应有关。常见的诱发因素包括某些食物如海鲜、坚果,或是药物如抗生素、非甾体抗炎药。此外,物理刺激如压力...
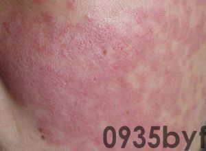
慢性接触性皮炎可发生于面部,主要表现为红斑,皮损轻度增生,形如苔藓,有时可以蔓延整个面颊,红斑上有密密麻麻的丘疹,患者自觉瘙痒,易引起搔抓。 慢性接触性皮炎面部红斑,患者需要寻找病因,迅速脱离接触物,并根据病情轻重,在医生指导下进行系统药物治疗,如氯雷他定、西替利嗪等,还可外用具有抗炎作用的糖皮质激素软膏,如地塞...